来源:互联网 更新时间:2026-04-05 08:30
最近网友们流行起鉴别自己的黑脖子是不是黑棘皮病,起因是网上的一则新闻。福建福州的一名13岁男孩,家人发现他的脖子总是黑黑的,反复清洗也依旧黑。
直到前往医院皮肤科检查,才确诊为黑棘皮病。另外,新闻中还提到,男孩平时酷爱零食,一到夏天更是喜欢用冰饮料下饭,现在身高1米73,体重高达97.5公斤。

究竟什么是黑棘皮病?它又为何会发生呢?这和孩子的饮食习惯、体重等有关系吗?今天,我们就来聊一聊这一现象。
黑棘皮病是一种皮肤疾病,它的病名就描述了疾病的形态,特点是:
·有色素沉着,颜色变深(灰色或者褐色),甚至发黑。
·病变的皮肤粗糙、增厚,像棘皮一样,仔细看的话,会有许多细小乳头状隆起,触感柔软,犹如天鹅绒一般。
·另外,它的位置很有特征性,特别容易出现在脖子上,左右对称。除了脖子外,还常见于腋窝、腹股沟、乳房下等皮肤褶皱处。
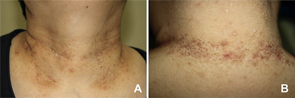
下面的2张图片,就是黑棘皮病的“证件照”。


典型的黑棘皮病(来自参考资料)
黑棘皮病不算少见,之前美国有个数据,他们调查了7到65岁人群,发现有19%的人都有这个皮肤问题。那么,要真是黑棘皮病,严重吗?这得展开说。
黑棘皮病本身,其实不严重,它几乎不疼不痒,也不影响身体健康,甚至都不需要刻意治疗。但是,得了黑棘皮病,一定要引起重视,因为它不会是无缘无故发生的,而是可能有其他的病因。
黑棘皮病最常见的原因是肥胖,尤其是未成年群体。数据显示,肥胖型黑棘皮病最为常见。具体来说,有研究发现,正常体重、超重或肥胖的7~19岁群体中,分别有3%、11%以及51%的人患有黑棘皮病。
对于将近200斤的新闻当事人,妥妥的是肥胖群体了,很容易中招黑棘皮病。由此可见,这个热搜的来龙去脉,我们也算是大概了解了:孩子因为有肥胖,引发了皮肤的黑棘皮病;而肥胖的原因,可能是暴饮暴食(也可能还有别的原因),食物本身和黑棘皮病没关系。
在治疗方面,对于肥胖型黑棘皮病患者,最为关键的就是控制体重。在医生的指导下,合理饮食,减少高热量、高脂肪、高糖食物的摄入,增加膳食纤维丰富的蔬菜水果以及粗粮的摄取,同时加强体育锻炼。如果减重成功,黑棘皮病也能随之而改善。
如果希望黑棘皮病改善效果更快,那么可以看皮肤科医生,再加上局部的对症治疗,加速病变的消退。可能会建议外用维A酸类药物(比如维A酸乳膏、阿达帕林凝胶),它们是一线治疗。
有研究显示,0.05%维A酸治2周后,所有黑棘皮病患者的外观都有好转,治疗16周后,80%的患者病变完全消除,不过消除后还需要间歇性抹药以防复发。除了肥胖外,黑棘皮病还有其他的原因,也需要提高警惕。其中,就包括内分泌异常、药物甚至癌症。
黑棘皮病是不少内分泌疾病在皮肤上的一种表现,虽然不是一一对应的关系,但胰岛素抵抗、糖尿病、多囊卵巢综合征的群体,相比普通人群,会更容易出现黑棘皮病。
少数黑棘皮病则是因为用药后的皮肤副作用。这类相关的药物包括系统使用糖皮质激素、注射胰岛素、口服避孕药、口服烟酸、蛋白质抑制剂、阿立哌唑、睾酮等。
更罕见但也更严重的是癌症相关的黑棘皮病,也叫做“恶性黑棘皮病”。这种黑棘皮病常与体内恶性肿瘤的紧密相关,比如胃癌、胰腺癌、胆管癌等多种腹部腺癌。
如果是儿童群体,出现恶性黑棘皮瘤的概率就更小了。如果出现下面的一些表现,那就要警惕有癌症的可能:
·黑棘皮病短期内迅速出现
·范围很大,不仅限于脖子等个别部位
·甚至黏膜、手掌、脚底等都出现病变
·伴随有不明原因的消瘦
总之,遇到身边(或自己)有黑棘皮病的时候,千万不能掉以轻心,它所发出的健康警示不容忽视。要做的是及时就医评估,寻找黑棘皮病背后的原因,看是单纯的胖,还是另有隐情。
上面重点聊了黑棘皮病,想必不少人会担心自己或自家的孩子是不是也有同样的问题。这里要提醒一下,除了黑棘皮病外,还有不少其他问题,也表现为“脏脖子”(或“黑脖子”)。
到了夏季,紫外线强烈,外加户外活动多,很多人容易被晒黑,脖子就是很常见的一个部位。这是因为,防晒的时候,脖子容易被忽视。
很多人没有给后脖子做遮挡,也不涂抹防晒霜。如果涂抹防晒霜,但涂抹得不均匀、量不够,或者户外活动超过2小时后忘记补涂,那么也容易被晒黑。晒黑的特点是后脖子为主,与周围皮肤有明显的分界线,衣服遮挡的皮肤比较正常,没有遮住的就比较黑;并且皮肤的质地摸起来没有异常,不会有粗糙和增厚的表现。
有一种很常见的慢性湿疹,叫做特应性皮炎,它可能在脖子上出现一种叫做“脏颈征”的特征性皮肤表现。它的形成机制主要是与湿疹相关的慢性炎症和皮肤屏障功能不完善。

“脏颈征”
“脏颈征”的外观特点是脖子(尤其是前面或侧面)是弥漫性褐色或暗沉的斑片,表面可能伴有轻微粗糙或细小的皮屑。除此之外,患者皮肤本身容易有干燥和瘙痒的表现,其他部位(比如手腕、手肘、腿弯)可能有反复长湿疹的情况。
这是一种偶有发生的皮肤问题,喜欢出现在腋窝、脖子等皮肤褶皱部位。某些化学物质,如衣物消毒剂中的苯扎氯铵,可能诱发颗粒状角化不全。

颗粒状角化不全
它的表现有多种多样,发黑反而不是主要特点,可能会有红斑、丘疹、斑块、皮屑、结痂,并可能伴有瘙痒。
也叫做Duncan污秽病,特点是没有症状,可以发生在是脖子、脸、脚踝、耳后等部位,外观是黑褐色污秽样斑片或斑块,同样容易被误认为是没有洗干净。用香皂、洗手液普通清洗方法无法去除这类病变,不过有学者发现,用异丙醇擦洗则很容易去除。

Terrafirma-fome皮病
限于篇幅,更多少见、罕见的类似疾病,比如Hailey-Hailey病、融合性网状乳头状瘤等,在这里就不再详细阐述了。
总之,如果脖子变黑,不是变脏了,不是真的晒黑,那么就要提高警惕,及时找医生评估好治疗,不要掉以轻心。
洛克王国世界翼王技能怎么配置
《洛克王国 世界》开服必看 抢先入手16只完美精灵 开局就赢在起跑线
起猛了 在成都看到关公开公交:三国寻梦线巴士正式推出
最强斗王每周活动安排
儿子去世 名下房产被判全归养母:生母缺席成长 养母照顾长大
张雪峰追悼会将在明日举行 生前曾有三次自救机会 都被他错过了
洛克王国世界可丽希亚任务完成攻略
洛克王国世界精灵王
洛克王国世界迪莫怎么获得
女子遇起火拿毛巾捂口鼻:退房被收钱
梦境护卫队怎么快速获得红英雄
蚂蚁庄园今日答案3月10日(今日已更新)
免费追剧App推荐
Switch2 Game Cube新增游戏《宝可梦XD暗之旋风黑暗洛奇亚》
2026年好玩又上头的2048类手机游戏推荐
崩坏星穹铁道不死途有什么技能
守塔不能停官网首页入口
爱养成3结局攻略大全艾泽尔 爱养成3攻略艾泽尔方法
“当对方说谢谢时,这样回,笑趴他”
魔王城物语滚石解锁方法
手机号码测吉凶
本站所有软件,都由网友上传,如有侵犯你的版权,请发邮件haolingcc@hotmail.com 联系删除。 版权所有 Copyright@2012-2013 haoling.cc